ΑΙΣΘΗΤΙΚΗ ΟΔΟΝΤΙΑΤΡΙΚΗ


καθαρισμός δοντιών

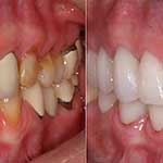
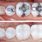
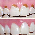
Η Αισθητική οδοντιατρική ασχολείται με παρεμβάσεις που έχουν ως στόχο τη βελτίωση της εμφάνισης των δοντιών και γενικότερα του στόματος, περιστατικά τα οποία δεν αντιμετωπίζουν τις περισσότερες φορές κάποιο ιατρικό πρόβλημα όμως ο ασθενής επιθυμεί την αισθητική παρέμβαση του οδοντιάτρου με στόχο την βελτίωση του χαμόγελου του.

Τα πιο συνηθισμένα προβλήματα που αντιμετωπίζει η αισθητική οδοντιατρική είναι:
Κίτρινα ή “λεκιασμένα” δόντια
Κενά ανάμεσα στα δόντια
Ορθοδοντικά προβλήματα
Μεταλλικά (μαύρα) σφραγίσματα
Σπασμένα / Ραγισμένα δόντια
Δόντια που λείπουν

ΕΝΔΟΔΟΝΤΙΑ


Ενδοδοντία

Η ενδοδοντία, ή απονεύρωση όπως είναι κοινά γνωστή, έχει ως στόχο τη διάσωση ταλαιπωρημένων δοντιών με σκοπό να διατηρηθούν στη στοματική κοιλότητα του ασθενή. Κατά τη διάρκεια της θεραπείας, καθαρίζεται όλη η τερηδόνα και το σαπισμένο δόντι και προετοιμάζεται κατάλληλα για να δεχτεί το τελικό υλικό.

ΑΚΙΝΗΤΗ ΠΡΟΣΘΕΤΙΚΗ


Ακίνητη Προσθετική - Γέφυρα

Γενικότερα, η προσθετική δοντιών είναι ο οδοντιατρικός τομέας που ασχολείται με τον σχεδιασμό και την εφαρμογή κατασκευών, οι οποίες αναπληρώνουν τα δόντια που λείπουν με τεχνητά δόντια.

Στην ακίνητη προσθετική χρησιμοποιούνται ειδικές θήκες (ή στεφάνες ή κορώνες) ή γέφυρες. Η θήκη είναι ουσιαστικά ένα καλύμματα σε σχήμα δοντιού. Η θήκη αυτή τοποθετείται σε ένα δόντι το οποίο έχει διαμορφωθεί κατάλληλα έπειτα από τρόχισμα που του κάνει η οδοντίατρος. Η γέφυρα είναι μία κατασκευή που αντικαθιστά ένα ή περισσότερα δόντια και στηρίζεται στα διπλανά δόντια (δόντια-στηρίγματα).

ΚΙΝΗΤΗ ΠΡΟΣΘΕΤΙΚΗ


Κινητή Προσθετική

Όταν αναφέρεται ο όρος κινητή προσθετική δοντιών, γίνεται λόγος για τις γνωστές τεχνίτες οδοντοστοιχίες (μασέλες). Οι οδοντοστοιχίες αυτές μπορεί να είναι ολικές και χρησιμοποιούνται όταν για διάφορους λόγους έχουν χαθεί όλα τα δόντια του ασθενή, ή μερικές, στην περίπτωση που έχουν χαθεί αρκετά δόντια άλλα όχι όλα.

ΟΔΟΝΤΙΑΤΡΙΚΗ ΓΙΑ ΠΑΙΔΙΑ


Οδοντιατρική για Παιδιά

Οι υπηρεσίες τις κλασικής οδοντιατρικής προσαρμοσμένες στα μέτρα των παιδιών και των εφήβων.

ΧΕΙΡΟΥΡΓΙΚΗ ΣΤΟΜΑΤΟΣ


Χειρουργική Στόματος - Στάδια

Η Χειρουργική του Στόματος ασχολείται με στοματικά προβλήματα για των οποίον την αντιμετώπιση είναι απαιτητή η χειρουργική επέμβαση. Παραδοσιακά η χειρουργική του στόματος ανήκει στο ευρύτερο γνωστικό αντικείμενο της Οδοντιατρικής επιστήμης.

Τα πιο συνηθισμένα προβλήματα που αντιμετωπίζονται με χειρουργική στόματος είναι:
Εξαγωγές δοντιών και υπολειμματικών ριζών
Αντιμετώπιση των έγκλειστων δοντιών καθώς και των επιπλοκών που μπορεί να δημιουργηθούν (φρονιμίτης)
Περιακρορριζική χειρουργική (ακρορριζεκτομή)


ΚΑΛΕΣΤΕ ΓΙΑ ΕΝΑ ΡΑΝΤΕΒΟΥ ΣΤΟ


2310 704088 και 6944 833764

ΕΠΙΚΟΙΝΩΝΙΑ

Σεβαστίδου Ευτέρπη
Χειρούργος Οδοντίατρος
Διευθυνση: 25ης Μαρτίου 82,
Εύοσμος Θεσσαλονίκης, Τ.Κ. 562 24
1ος όροφος

Τ: 2310 704088
Κ: 6944 833764
Email
se.peta [at] hotmail.com
Website
www.sevastidou.gr
Βρείτε μας και στα κοινωνικά δίκτυα